Pancreatic Cysts and Imaging Modalities

Download Presenatation
pancreas cyst n.w
1 / 26
Embed
Share

Pancreatic cysts are a common finding, with increasing diagnosis due to cross-sectional imaging. These cysts can be neoplastic or non-neoplastic, and accurate categorization is crucial for proper management. Cross-sectional imaging methods such as CT and MRI play a role in diagnosis, while EUS may be necessary to further assess and categorize cystic lesions. Rarely, solid pancreatic tumors may manifest as cysts. This overview delves into the classification, prevalence, and diagnostic challenges related to pancreatic cysts.

  • Pancreatic cysts
  • Neoplastic
  • Non-neoplastic
  • Cross-sectional imaging
  • Endoscopic ultrasound

Uploaded on | 1 Views


Download Presentation

Please find below an Image/Link to download the presentation.

The content on the website is provided AS IS for your information and personal use only. It may not be sold, licensed, or shared on other websites without obtaining consent from the author. If you encounter any issues during the download, it is possible that the publisher has removed the file from their server.

You are allowed to download the files provided on this website for personal or commercial use, subject to the condition that they are used lawfully. All files are the property of their respective owners.

The content on the website is provided AS IS for your information and personal use only. It may not be sold, licensed, or shared on other websites without obtaining consent from the author.

E N D

Presentation Transcript


  1. Pancreas Cyst ERIC TRAWICK EUS CONFERENCE JUNE 2011

  2. Overview Pancreatic cysts are being diagnosed with increasing frequency due to the widespread use of cross-sectional imaging Estimated prevalence of 1% in the general population Up to 40% are asymptomatic Pancreatic cysts can be divided into 2 broad categories Neoplastic Classified by the type of epithelium lining the cyst Non-neoplastic Pseudocyst Non-neoplastic pancreatic cysts (rare) Include retention cyst & True cysts Retention cysts Mucinous non-neoplastic cysts Lymphoepithelial cysts Accurate cyst categorization is needed for proper management JOP. J Pancreas (Online) 2010 Jul 5; 11(4):299- 309.

  3. Overview Rarely, solid pancreatic tumors may present as pancreatic cyst Islet cell tumor Pancreatic cystic lesions are usually an isolated finding, but are associated with both von Hippel- Lindau disease and ADPKD Pancreatic cyst are present in up to 70% of patients with von Hippel-Lindau disease Approximately 10% of patients with ADPKD have pancreatic cyst JOP. J Pancreas (Online) 2010 Jul 5; 11(4):299- 309.

  4. Cross-sectional Imaging Unreliable means of diagnosis when used alone Up to 40% of serous and mucinous lesions are misdiagnosed as pseudocysts Diagnostic accuracy of CT is reported between 20- 83% MRI is equivalent or slightly better than CT for diagnosis of cystic pancreatic lesions As expected MRCP is superior to CT in defining ductal anatomy JOP. J Pancreas (Online) 2010 Jul 5; 11(4):299- 309.

  5. Journal of Computer Assisted Tomography. 1999 23(6):906-912.

  6. Indication for EUS No hard and fast rules Will EUS change management? Symptomatic or worrisome lesions are usually resected without need for EUS &/or FNA Is there a clear history of pancreatitis and a new cystic lesion? If obviously a pseudocyst then don t need EUS EUS +/- FNA is indicated to further assess and categorize cystic pancreatic lesions World J Surg (2008) 32:2028 2037

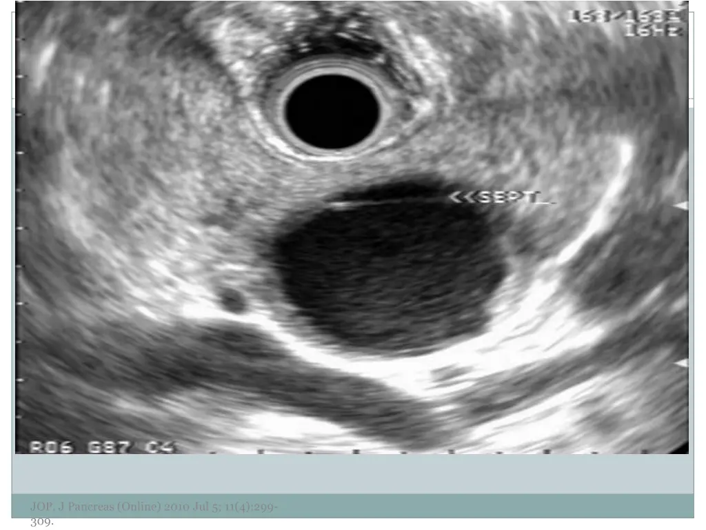
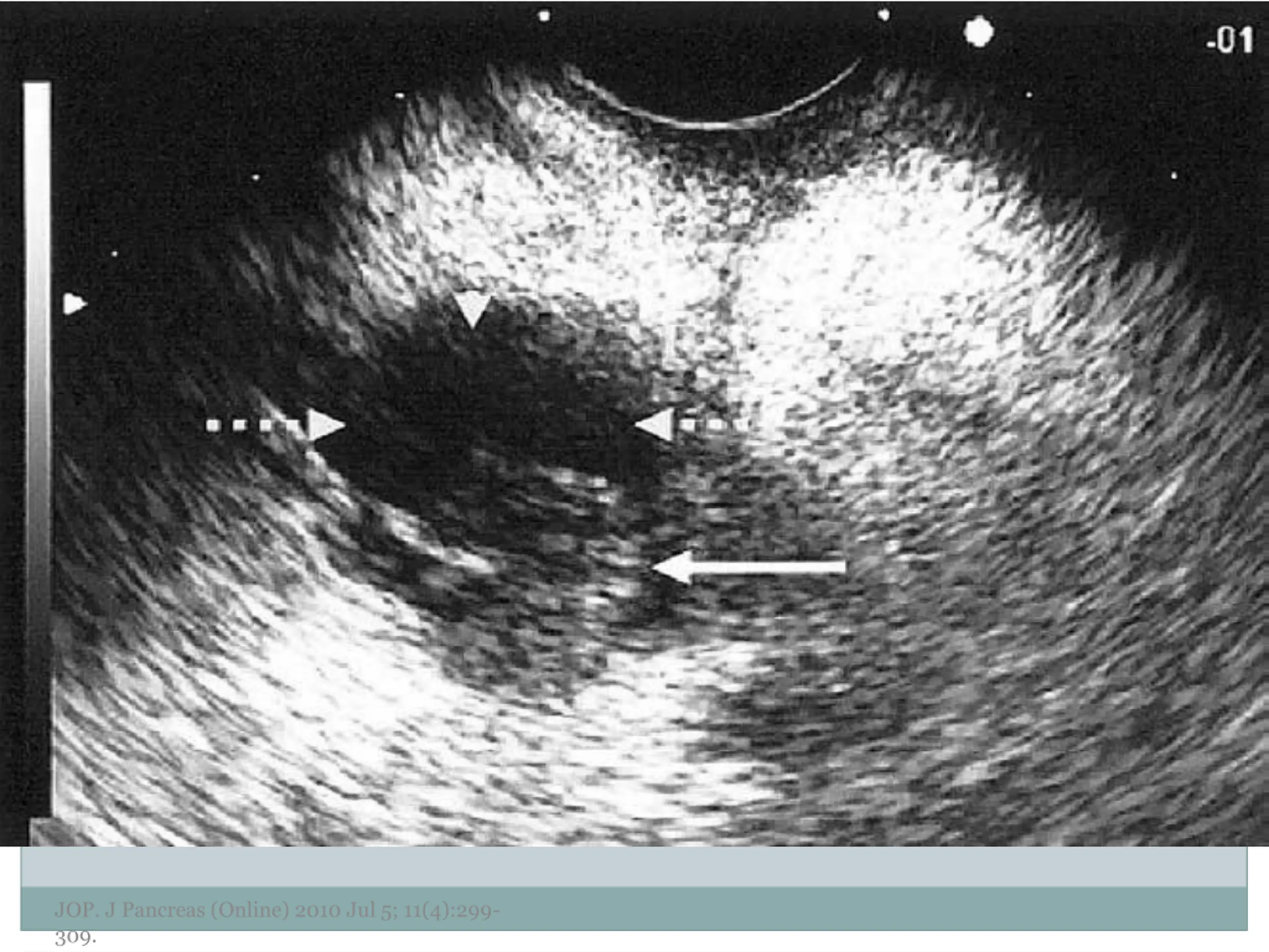
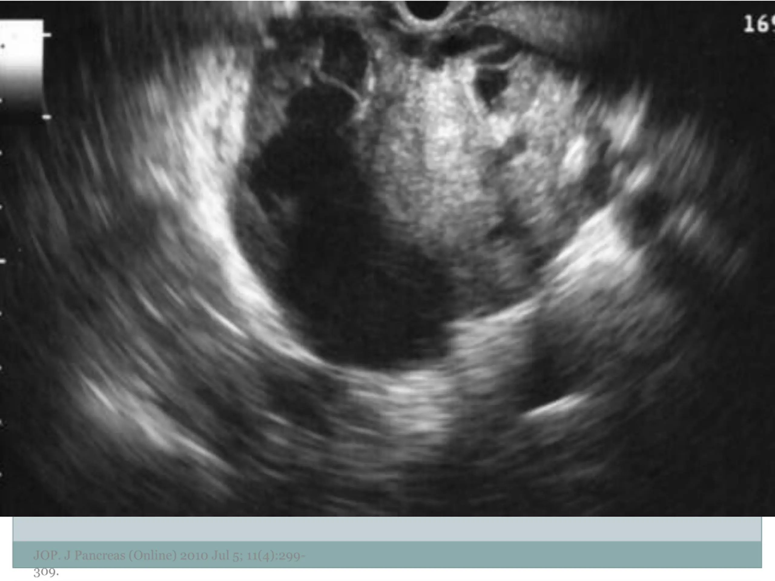
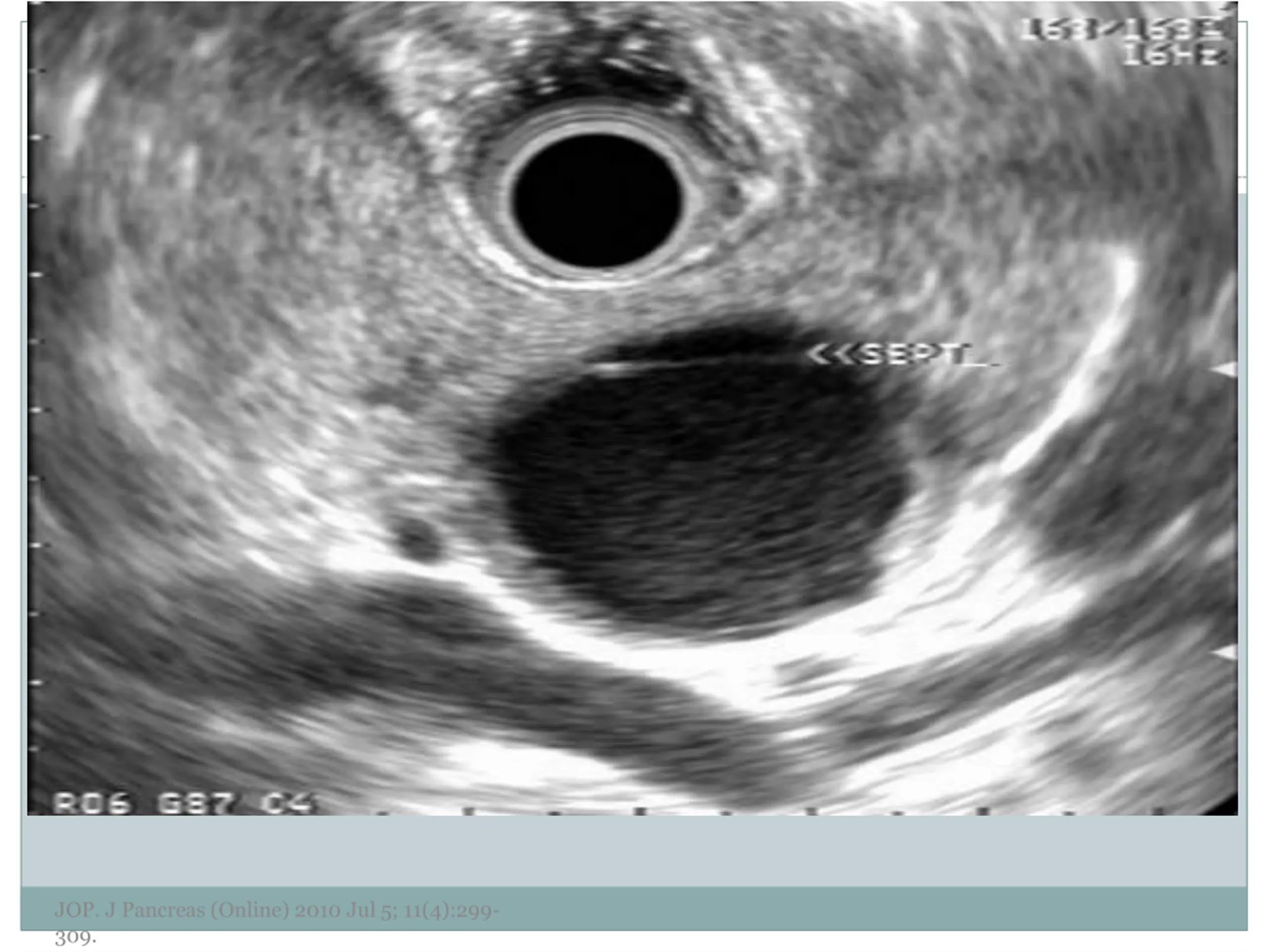
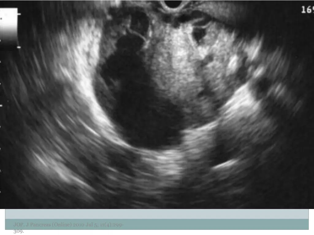
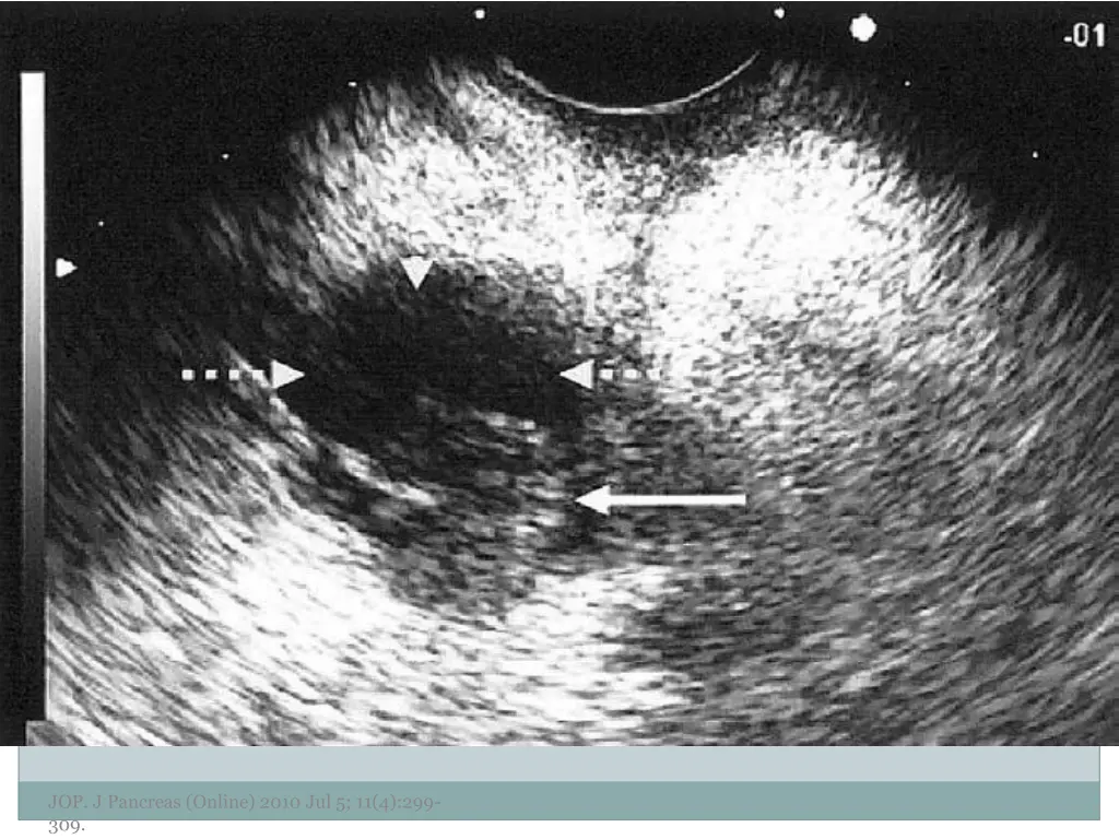
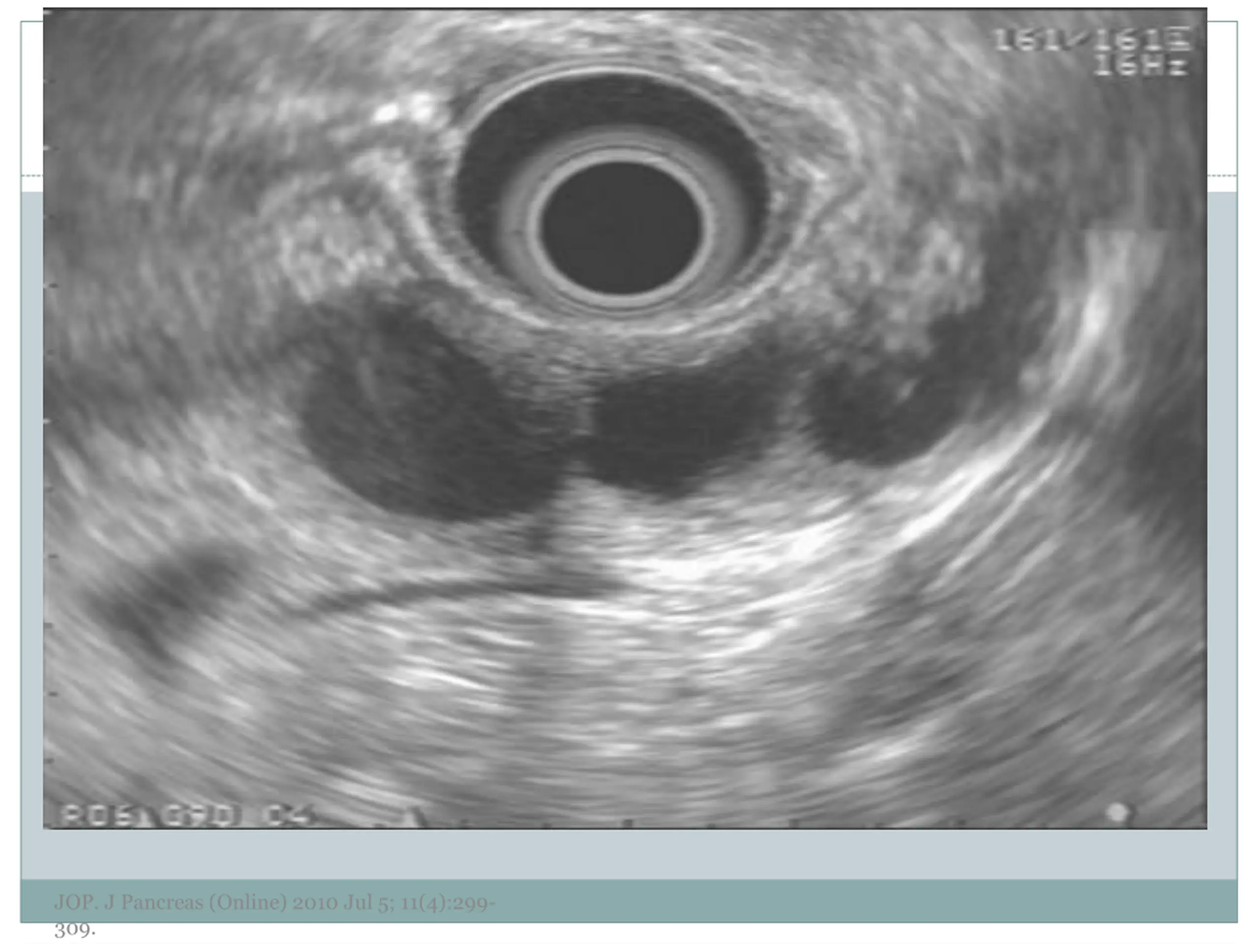
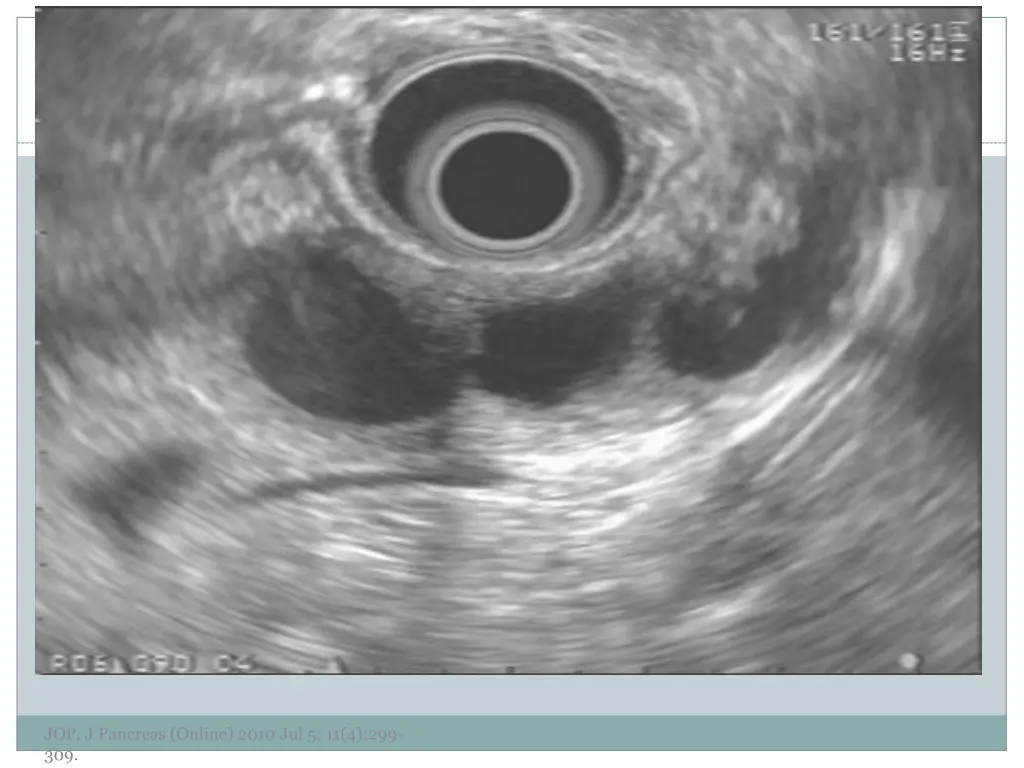
  7. EUS Morphology Cyst wall Thick vs. thin Solid component Associated with malignancy Septations Micro vs. macrocystic Ductal abnormalities Main duct vs. side duct Number of cyst Lymphadenopathy EUS morphology can correctly differentiate mucinous from non-mucinous cystic lesions approximately 50% of the time JOP. J Pancreas (Online) 2010 Jul 5; 11(4):299- 309.

  8. Normal Pancreas EUS image of the normal pancreas (P, outlined by short arrows) with a finely granular echoic pattern that is characteristically very homogeneous. A part of the normal diameter (1 mm) pancreatic duct (pd) is seen in the tail. Upper pole of the kidney (K) is also visible. (Magnification range scale = 9 cm).

  9. JOP. J Pancreas (Online) 2010 Jul 5; 11(4):299- 309.

  10. Examples of Morphology JOP. J Pancreas (Online) 2010 Jul 5; 11(4):299- 309.

  11. JOP. J Pancreas (Online) 2010 Jul 5; 11(4):299- 309.

  12. JOP. J Pancreas (Online) 2010 Jul 5; 11(4):299- 309.

  13. JOP. J Pancreas (Online) 2010 Jul 5; 11(4):299- 309.

  14. FNA & Fluid Analysis Cytology High specificity, low sensitivity Mucin High specificity, low sensitivity Amylase/Lipase Elevated in Pseudocyst & IPMNs Low in SCN & MCN CEA Most accurate test to distinguish mucinous from non-mucinous cyst DNA analysis Mixed data when compared to CEA

  15. World J Surg (2008) 32:20282037

  16. Cyst Fluid Analysis ASGE Guidelines 2005

  17. Application A retrospective analysis of 153 pts undergoing EUS for pancreatic cyst between 1996 to 2007 Clinical history, EUS characteristics, cytology, tumor markers and surgical histology were collected Predictors of malignancy were determined by univariate and multivariate analysis Aliment Pharmacol Ther. 2010 Jan 15;31(2):285- 94

  18. Application Prospective study of 341 pts found to have a pancreatic cystic lesion >10 mm on abd imaging Exclusion criteria included: abnormal coags/platelets &/or an abscess EUS was performed looking at morphology, cyst fluid cytology, and cyst fluid tumor markers (CEA, CA 72-4, CA 125, CA 19-9, and CA 15-3) Gastroenterology. 2004 May;126(5):1330-6

  19. Gastroenterology. 2004 May;126(5):1330-6

  20. Summary No single test or imaging modality can reliably differentiate cyst type Composite data is needed Clinical features of the patient Cross-sectional imaging Tumor markers EUS with cyst fluid analysis

  21. http://daveproject.org/pancreas-chronic-pancreatitis- with-eus-fna-of-pseudocyst/2004-05-07/ http://daveproject.org/pancreas-eusfna-of-ipmn-with- malignant-transformation/2007-11-13/ ASGE Guidelines 2005

  22. http://daveproject.org/pancreas-serous-cyst-with-bleeding/2009-04- 23/ http://daveproject.org/pancreas-serous-cystadenoma-with-fna/2007- 11-13/ http://daveproject.org/eus-fna-of-solid-pseudopapillary-tumor/2011- 02-21/ ASGE Guidelines 2005

  23. GASTROENTEROLOGY 2005;128:463469

Related


More Related Content