
Spinal Injury Cases: Clinical Histories & Neurological Exams
Explore two distinct cases of spinal injuries - one from a vehicular accident and the other from a fall. Detailed clinical histories, neurological exam findings, and imaging results are presented for each case, shedding light on the severity and extent of the injuries sustained.
Download Presentation

Please find below an Image/Link to download the presentation.
The content on the website is provided AS IS for your information and personal use only. It may not be sold, licensed, or shared on other websites without obtaining consent from the author. If you encounter any issues during the download, it is possible that the publisher has removed the file from their server.
You are allowed to download the files provided on this website for personal or commercial use, subject to the condition that they are used lawfully. All files are the property of their respective owners.
The content on the website is provided AS IS for your information and personal use only. It may not be sold, licensed, or shared on other websites without obtaining consent from the author.
E N D
Presentation Transcript
Clinical Hx (Case 1) 22 year old male. Ejected from a vehicle during a high speed single vehicle rollover. Immediate complaints of chest and back pain. Transported to FMC. Hemodynamically stable. No LoC. Injury to thoracic or lumbar spine and associated bilateral pulmonary contusions.
Neurological exam (Case 1) Upper extremity: Sensory: Normal to light touch and pinprick Motor: 5/5 power in all muscle groups Lower extremity: Sensory: Absent sensation Motor: 0/5 power in all muscle groups Rectal: Sensation: Absent Voluntary sphincter tone: Absent Other relevant findings: No sensation to pinprick below costal margin bilaterally. Complete absence of sensation below umbilicus.
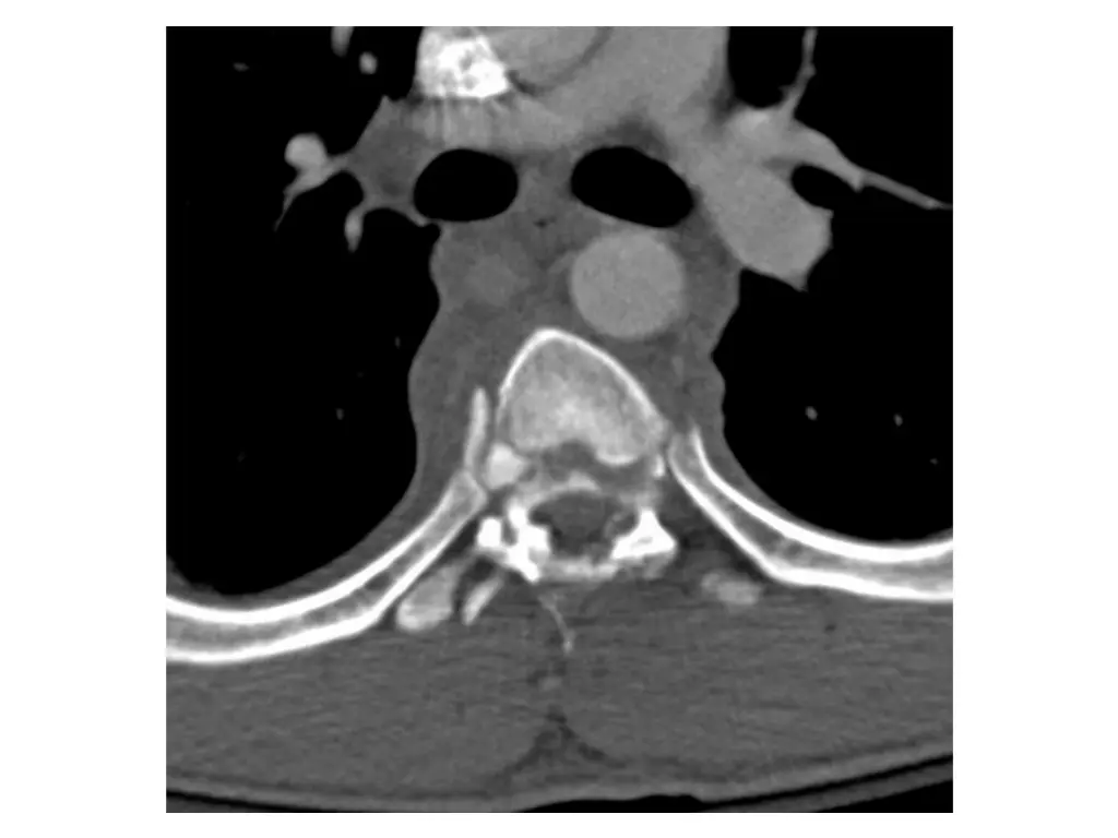
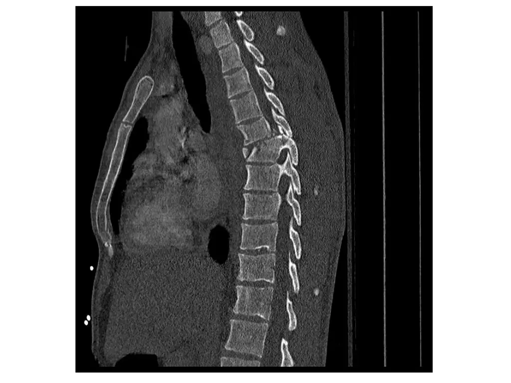
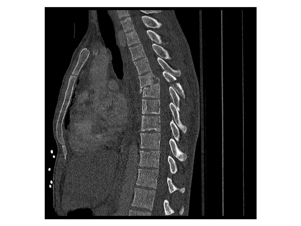
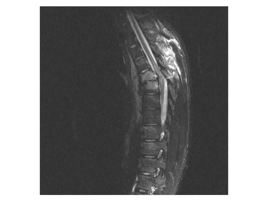
Imaging (Case 1) Midsagittal CT scan Parasagittal CT scan Axial CT scan Midsagittal STIR MRI scan
Clinical Hx (Case 2) 30 year old male. Fell approximately 30 feet landing on back. Immediate complaints of back pain. Transported to FMC. Hemodynamically stable. No LoC. Isolated injury to thoracic or lumbar spine.
Neurological exam (Case 2) Upper extremity: Sensory: Normal to light touch and pinprick Motor: 5/5 power in all muscle groups Lower extremity: Sensory: L3-S2 left sided numbness, otherwise normal to light touch and pinprick Motor: 5/5 power in all muscle groups Rectal: Sensation: Normal to light touch and pinprick Voluntary sphincter tone: Normal Other relevant findings: None
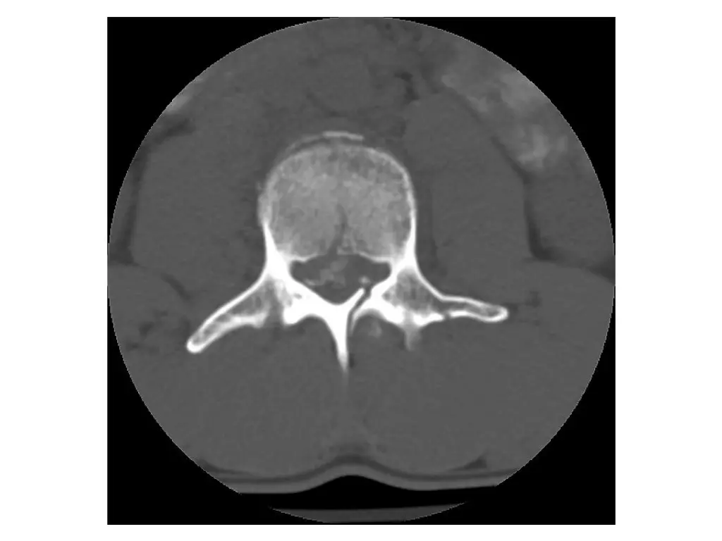
Imaging (Case 2) Lateral XR Midsagittal CT scan Parasagittal CT scan Axial CT scan
Clinical Hx (Case 3) 16 year old. Restrained rear passenger in high speed MVC wearing only lap belt. Immediate complaints of mid to low back pain. Transported to FMC. Hemodynamically stable. No LoC. Isolated injury to thoracic or lumbar spine.
Neurological exam (Case 3) Upper extremity: Sensory: Normal to light touch and pinprick Motor: 5/5 power in all muscle groups Lower extremity: Sensory: Normal to light touch and pinprick Motor: 5/5 power in all muscle groups Rectal: Sensation: Normal to light touch and pinprick Voluntary sphincter tone: Normal Other relevant findings: None
Imaging (Case 3) Lateral XR Midsagittal CT scan Parasagittal CT scan