Fungal Lung Infections

Fungal Lung Infections
Slide Note
Embed
Share

Fungal lung infections, such as aspergillosis and mucormycosis, can present various challenges for diagnosis and treatment. This comprehensive guide explores different types of fungal infections of the lungs, their symptoms, diagnostic methods, and treatment options including surgical resection and antifungal medications like Voriconazole. Learn about chronic aspergillosis, invasive pulmonary aspergillosis (IPA), and the clinical spectrum of pulmonary aspergillosis.

  • Fungal Infections
  • Aspergillosis
  • Lung Infections
  • Antifungal Treatment
  • Diagnosis

Uploaded on Apr 19, 2025 | 1 Views


Download Presentation

Please find below an Image/Link to download the presentation.

The content on the website is provided AS IS for your information and personal use only. It may not be sold, licensed, or shared on other websites without obtaining consent from the author.If you encounter any issues during the download, it is possible that the publisher has removed the file from their server.

You are allowed to download the files provided on this website for personal or commercial use, subject to the condition that they are used lawfully. All files are the property of their respective owners.

The content on the website is provided AS IS for your information and personal use only. It may not be sold, licensed, or shared on other websites without obtaining consent from the author.

E N D

Presentation Transcript


  1. FUNGAL INFECTIONS OF THE LUNGS Dr H

  2. FUNGHI Aspergillus Mucormycosis Histoplasmosis Blastomycocosis Coccidiodomycosis Candida

  3. GALACTOMANNAN & PRECIPTANS Galactomannan Fungal antigen Precipitans Fungal IgG antibodies

  4. ASPERGILLUS Filamentous fungi (45 branch) Soil-dweller (inhale spores) A. fumigatus A. flavus A. niger A. terreus

  5. ASPERGILLUS SoubaniAO, ChandrasekarPH. The Clinical Spectrum of Pulmonary Aspergillosis. Chest 2002;121: 1988-1999.

  6. ASPERGILLOMA Occur in structurally abnormal airways (previous cavities from TB, sarcoid, COPD, or bronchiectasis) Usually asymptomatic, but can cause life- threatening hemoptysis If life-threatening bleeding occurs - embolization or surgical resection (lobectomy) Treatment: consider surgical resection with pre-op and post-op Voriconazole

  7. CHRONIC ASPERGILLOSIS Chronic Cavitary Chronic Necrotizing Immunocompetent patient with progressive cavities over time Immunocompromised patient Subacute invasion +Aspergillus antibodies in blood Treatment: Voriconazole or Itraconazole (if severe, Ampho B) Can progress to fibrosis Treatment: Voriconazole or Itraconazole (if severe, Ampho B)

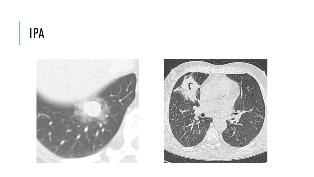
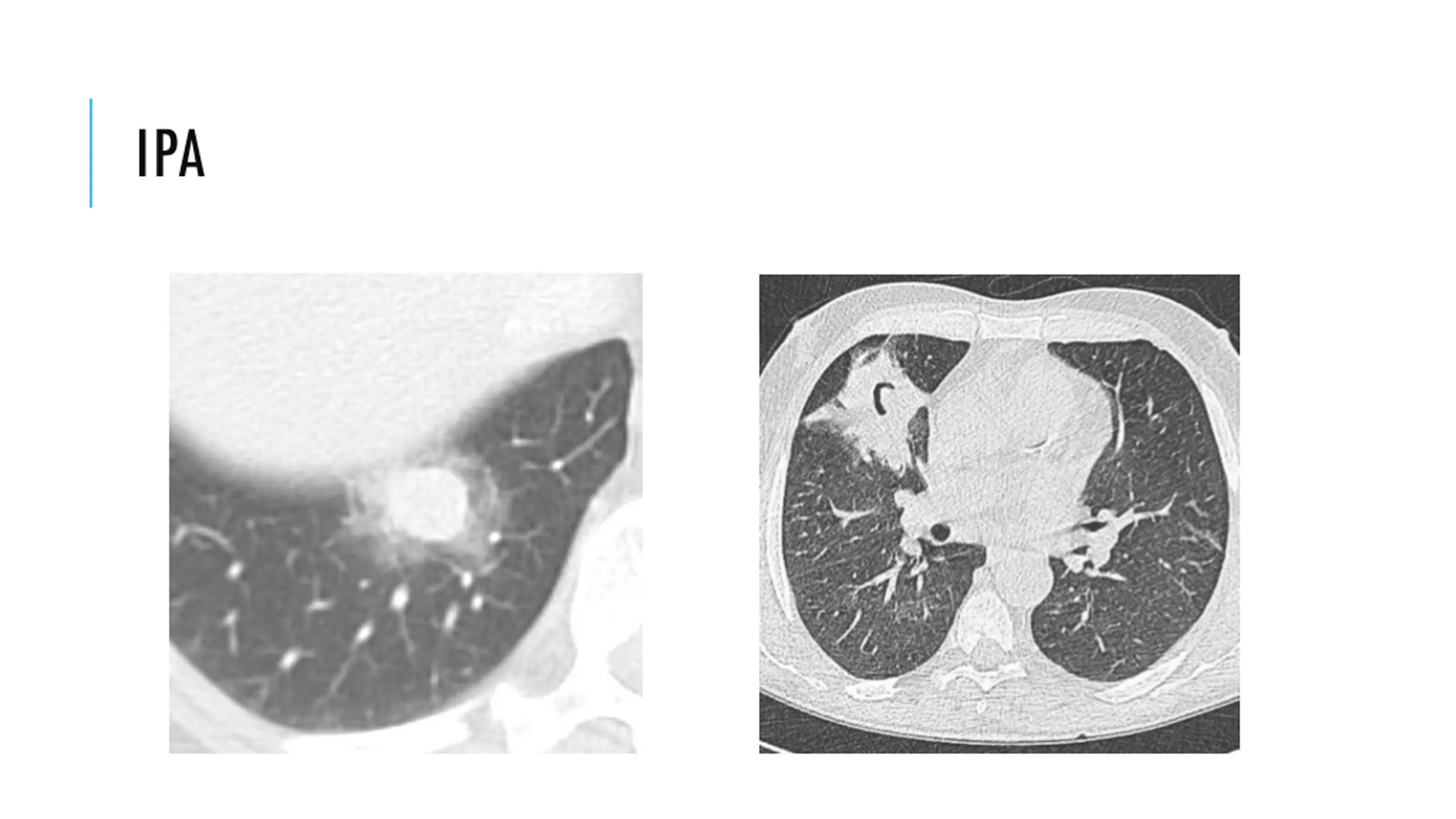
  8. INVASIVE PULMONARY ASPERGILLOSIS (IPA) Neutropenia most important risk factor Risk goes up as neutropenia continues (1%/day for first three weeks, then up to 4%/day thereafter) Present vaguely (fever, productive cough, dyspnea, chest pain with infarcts, hemoptysis) Spreads hematogenously (mostly to brain) CT with nodules, halo sign, and air-crescent sign Diagnosis: Fungal stain and culture (wash or tissue). Serum or BAL galactomannan Treatment: Voriconazole (6mg/kg IV q12h x1 day, then 4mg/kg IV q12h, then 200mg orally q12h) x3 months Consider surgery

  9. IPA

  10. ABPA Hypersensitivity disease Treat by preventing exacerbations (follow IgE) Consider in refractory asthma and in CF Diagnosis: 6/8 Major Criteria (next slide) Annual IgE levels (if between 500-1000, screen earlier) Treatment: Prednisone 0.5mg/kg/day, taper by symptoms (Itraconazole 200mg BID x 16 weeks can serve as a steroid sparing agent)

  11. ABPA MAJOR CRITERIA (ARTEPICS) Asthma Roentgenographic fleeting pulmonary opacities Test, skin, positive for Aspergillus (type I reaction) Eosinophilia Precipitating antibodies (IgG) IgE serum >1000 IU/mL Central bronchiectasis Serums A fumigatus-specific IgG and IgE (2x elevated)

  12. ABPA MINOR CRITERIA Aspergillus in sputum Brownish-black mucus plugs Delayed reaction to Aspergillus antigen (type III)

  13. MUCORMYCOSIS Filamentous fungi (90 branch) Soil-dweller (inhale spores) Rhizopus Absidia Mucor

  14. MUCORMYCOSIS Very aggressive angioinvasion, thrombosis, hemorrhagic infarction Risk factors: hematologic malignancy with prolonged neutropenia, diabetes Symptoms vague (fever, cough, pleurisy, hemoptysis) Treatment: Amphotericin B and SURGICAL RESECTION with immune reconstitution. Can transition down to oral posaconazole

  15. HISTOPLASMOSIS Ohio and Mississippi River Valleys Narrow-based budding yeast

  16. HISTOPLASMOSIS Syndromes: Pneumonia with mediastinal or hilar lymphadenopathy Mediastinal or hilar masses Pulmonary nodule Cavitary lung disease Pericarditis with mediastinal lymphadenopathy Pulmonary manifestations with arthritis or arthralgia plus erythema nodosum Dysphagia caused by esophageal narrowing Superior vena cava syndrome or obstruction of other mediastinal structures Treatment: Itraconazole (if severe, Ampho B)

  17. HISTOPLASMOSIS Diagnosis with syndrome plus: Tissue (lung or lymph node) Granuloma with surrounding lymphohistiocytic aggregates and mononuclear cell infiltrates Antigens EIA in urine, blood, or BAL

  18. BLASTOMYCOSIS Dimorphic fungus Broad-based budding yeast Mississippi and Ohio River basins (also Canada)

  19. BLASTOMYCOSIS Manifestations: Pulmonary 91 percent Acute or Chronic Pneumonia Skin 18 percent Bone 4 percent Genitourinary 2 percent Central nervous system 1 percent Other (laryngeal involvement, soft tissue, lymphatic, esophageal, joint, and tracheal involvement) 3 percent Diagnosis: Growth of organism (sputum, BAL, tissue) Treatment: Itraconazole (Ampho B if severe)

  20. COCCIDIODOMYCOSIS Dimorphic fungi Southwestern US, Mexico, Central and South America Pregnancy is a risk factor

  21. COCCIDIODOMYCOSIS Acute Pneumonia (Valley Fever) Disseminated Disease (immunocompromised host) Diagnosis: Smear or Culture. Serologic testing is excellent for monitoring therapy Methenamine silver stain with spherules (white arrows), endospores (blue arrow), hyphal forms (black arrows) on biopsy Treatment: treat those at risk for dissemination with flucanozole or itraconazole

  22. CANDIDA Not a lung pathogen

More Related Content